| 经过测试的应用 | |
| WB | WB-1:2000-1:12000 |
| 经测试应用 | WB, ELISA |
| 反应物种 | human, mouse, rat |
| 宿主/亚型 | Rabbit / IgG |
| 抗体类型 | Polyclonal |
| 产品类型 | Antibody |
| 偶联类型 | Unconjugated |
| 宿主 | Rabbit / IgG |
| 形式 | Liquid |
| 基因名 | RNF220 |
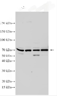
| 分子量 | 70 kDa |
| 纯化方式 | Antigen affinity Purification |
| 存储缓冲液 | PBS with 0.02% sodium azide and 50% glycerol, pH 7.3 |
| 储存 | Store at -20°C. Stable for one year after shipment |

Various lysates were subjected to SDS PAGE followed by western blot with at dilution of 1:6000 incubated at room temperature for 1.5 hours
×