| IHC | IHC-1/200 - 1/1000 |
| IF/ICC | IF/ICC-1/50 - 1/200 |
| FCM | FCM-1/200-1/400 |
| ELISA | ELISA-1/10000 |
| 反应物种 | Human,Mouse |
| 抗体类型 | Primary antibody |
| 克隆性 | Monoclonal |
| 宿主 | Mouse IgG1 |
| 基因名 | TRMT112 |
| 分子量 | 19 kDa |
| 形式 | Liquid |
| 存储缓冲液 | Purified antibody in PBS with 0.05% sodium azide and 50% glycerol. |
| 储存 | Store at 4°C short term. Aliquot and store at -20°C long term. Avoid freeze/thaw cycles. |

Black line: Control Antigen (100 ng);Purple line: Antigen (10ng); Blue line: Antigen (50 ng); Red line:Antigen (100 ng)
Immunofluorescence analysis of Hela cells using TRMT112 mouse mAb (green). Blue: DRAQ5 fluorescent DNA dye. Red: Actin filaments have been labeled with Alexa Fluor- 555 phalloidin. Secondary antibody from Fisher
Flow cytometric analysis of Hek293 cells using TRMT112 mouse mAb (green) and negative control (red)
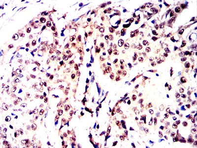
Immunohistochemical analysis of paraffin-embedded human esophageal cancer tissues using TRMT112 mouse mAb with DAB staining
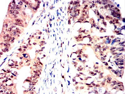
Immunohistochemical analysis of paraffin-embedded human rectum cancer tissues using TRMT112 mouse mAb with DAB staining
Immunohistochemical analysis of paraffin-embedded mouse brain tissues using TRMT112 mouse mAb with DAB staining
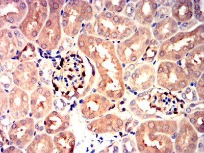
Immunohistochemical analysis of paraffin-embedded mouse kidney tissues using TRMT112 mouse mAb with DAB staining
×