| 经过测试的应用 | |
| WB | WB-1/500 - 1/2000 |
| IHC | IHC-1/200 - 1/1000 |
| IF/ICC | IF/ICC-1/50-1/200 |
| FCM | FCM-1/200 - 1/400 |
| ELISA | ELISA-1/10000 |
| 反应物种 | Human,Mouse,Rat,Rabbit,Monkey |
| 抗体类型 | Primary antibody |
| 克隆性 | Monoclonal |
| 宿主 | Mouse IgG1 |
| 基因名 | BDH1 |
| 分子量 | 49.3 kDa |
| 形式 | Liquid |
| 存储缓冲液 | Purified antibody in PBS with 0.05% sodium azide and 50% glycerol. |
| 储存 | Store at 4°C short term. Aliquot and store at -20°C long term. Avoid freeze/thaw cycles. |

Black line: Control Antigen (100 ng); Purple line: Antigen(10ng); Blue line: Antigen (50 ng); Red line: Antigen (100 ng)
Western blot analysis using BDH1 mouse mAb against Mouse heart (1) lysate
Immunofluorescence analysis of HepG2 cells using BDH1 mouse mAb (green). Blue: DRAQ5 fluorescent DNA dye
Immunofluorescence analysis of NIH/3T3 cells using BDH1 mouse mAb (green). Blue: DRAQ5 fluorescent DNA dye. Red: Actin filaments have been labeled with Alexa Fluor- 555 phalloidin
Immunofluorescence analysis of RSC-96 cells using BDH1 mouse mAb (green). Blue: DRAQ5 fluorescent DNA dye. Red: Actin filaments have been labeled with Alexa Fluor- 555 phalloidin
Flow cytometric analysis of SK-N-SH cells using BDH1 mouse mAb (green) and negative control (red)
Flow cytometric analysis of Hela cells using BDH1 mouse mAb (green) and negative control (red)
Flow cytometric analysis of C6 cells using BDH1 mouse mAb (green) and negative control (red)
Flow cytometric analysis of NIH/3T3 cells using BDH1 mouse mAb (green) and negative control (red)
Flow cytometric analysis of COS7 cells using BDH1 mouse mAb (green) and negative control (red)
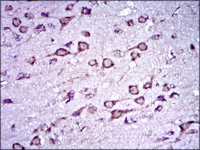
Immunohistochemical analysis of paraffin-embedded human brain tissue tissues using BDH1 mouse mAb with DAB staining
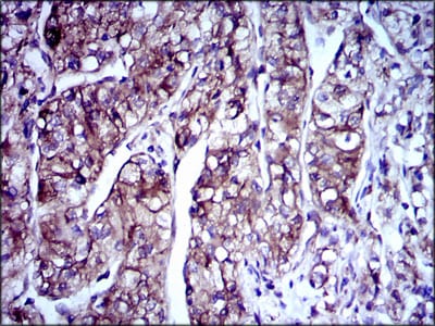
Immunohistochemical analysis of paraffin-embedded human kidney cancer tissues using BDH1 mouse mAb with DAB staining
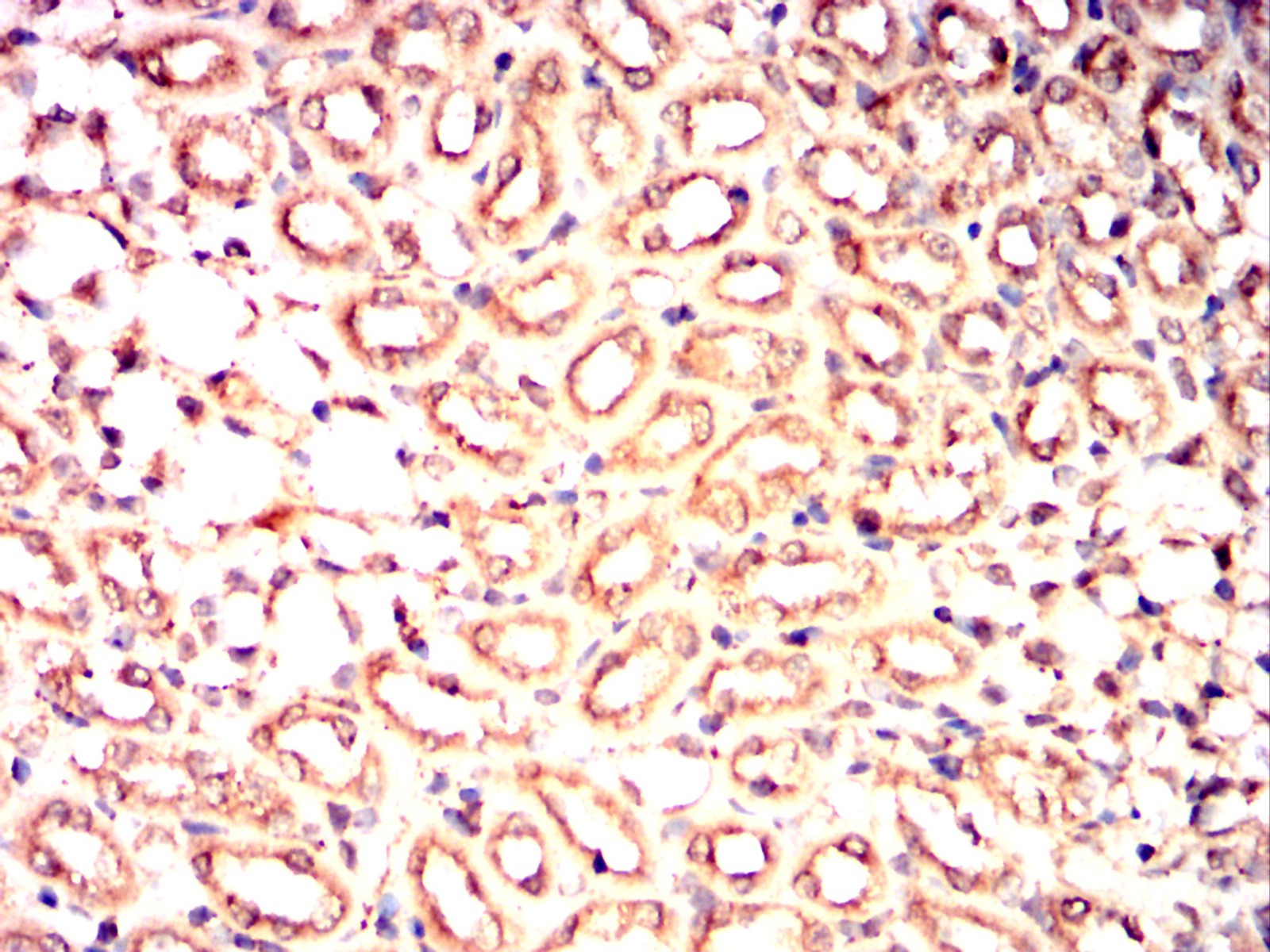
Immunohistochemical analysis of paraffin-embedded Mouse kidney using BDH1 mouse mAb with DAB staining
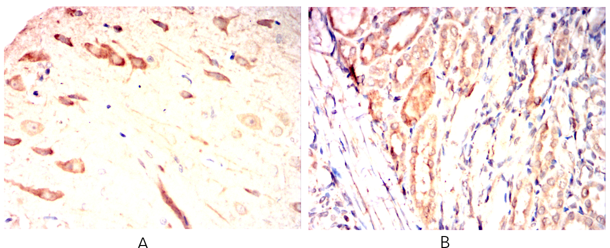
Immunohistochemical analysis of paraffin-embedded Rat brain(A)Rat kidney(B) using BDH1 mouse mAb with DAB staining
Immunohistochemical analysis of paraffin-embedded Rabbit brain(A)Rabbit kidney(B) using BDH1 mouse mAb with DAB staining
×