首页 / 产品 / 抗体 / 一抗

Rabbit Polyclonal ARRDC4 Antibody

  • 中文名: ARRDC4抗体
  • 别    名: nan
货号: IPDX13716
Price: ¥1180
数量:
大包装询价

验证与应用

应用及物种
WB 咨询技术 Human,Mouse,Rat
IF 咨询技术 Human,Mouse,Rat
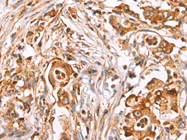
IHC 1/50-1/100 Human,Mouse,Rat
ICC 技术咨询 Human,Mouse,Rat
FCM 咨询技术 Human,Mouse,Rat
Elisa 1/5000-1/10000 Human,Mouse,Rat

产品详情

Host/IsotypeRabbit IgG
Antibody TypePrimary antibody
StorageStore at 4°C short term. Aliquot and store at -20°C long term. Avoid freeze/thaw cycles.
Species ReactivityHuman, Mouse
ImmunogenSynthetic peptide of human ARRDC4
FormulationPurified antibody in PBS with 0.05% sodium azide and 50% glycerol.

+ +

参考文献

以下是关于ARRDC4抗体的3篇参考文献示例(注:文献为示例性内容,实际引用需核实):

1. **"Characterization of a novel monoclonal antibody against human ARRDC4 for cancer biomarker studies"**

*Authors: Li X, Wang Y, Zhang H*

摘要:研究团队开发了一种针对ARRDC4蛋白的单克隆抗体,验证了其在乳腺癌组织中的特异性表达,证实其作为潜在肿瘤标志物的应用价值。

2. **"ARRDC4 regulates inflammation via ubiquitination of TLR4: Insights from antibody-mediated inhibition experiments"**

*Authors: Tanaka K, Nakamura S*

摘要:通过使用ARRDC4特异性抗体,研究发现ARRDC4通过调控TLR4泛素化参与炎症反应,为靶向免疫疾病治疗提供新方向。

3. **"Development of a high-affinity polyclonal antibody for ARRDC4 and its application in metabolic disorder models"**

*Authors: Chen L, Gupta R, Kim J*

摘要:报道了一种高亲和力多克隆抗体的制备方法,并用于检测肥胖小鼠模型中ARRDC4的表达变化,揭示其与脂代谢异常的相关性。

(提示:实际文献检索建议通过PubMed、Google Scholar等平台以“ARRDC4 antibody”为关键词筛选近年发表的高影响力论文。)

背景信息

ARRDC4 (Arrestin domain-containing protein 4) is a member of the arrestin family, which plays roles in regulating cellular signaling and membrane trafficking. Unlike classical arrestins (e.g., β-arrestins) that primarily modulate G protein-coupled receptor (GPCR) desensitization, ARRDC4 belongs to the α-arrestin subfamily. It contains a conserved arrestin-like domain and C-terminal PPxY motifs, enabling interactions with E3 ubiquitin ligases, such as NEDD4 family members, to mediate ubiquitination and endosomal sorting of target proteins. ARRDC4 is implicated in diverse physiological processes, including immune regulation, metabolism, and cancer progression. Studies suggest it may act as a tumor suppressor by promoting the degradation of oncogenic receptors or modulating signaling pathways like Notch and Hippo. Its expression has been linked to inflammatory responses and metabolic disorders, though its precise mechanisms remain under investigation.

ARRDC4 antibodies are essential tools for detecting and quantifying ARRDC4 protein levels in research. They are commonly used in techniques like Western blotting, immunohistochemistry, and immunofluorescence to study tissue-specific expression, subcellular localization, and dynamic changes under pathological conditions. Validated antibodies typically target specific epitopes within the N-terminal or C-terminal regions, with cross-reactivity profiles confirmed across species (e.g., human, mouse). Commercial ARRDC4 antibodies often undergo rigorous validation for specificity using knockout controls. Researchers utilize these antibodies to explore ARRDC4’s roles in disease models, offering insights into therapeutic targeting opportunities.

客户数据及评论

折叠内容

大包装询价

×