首页 / 产品 / 抗体 / 一抗

Rabbit Polyclonal EXD2 Antibody

  • 中文名: EXD2抗体
  • 别    名: EXDL2; C14orf114
货号: IPDX13364
Price: ¥1180
数量:
大包装询价

验证与应用

应用及物种
WB 咨询技术 Human,Mouse,Rat
IF 咨询技术 Human,Mouse,Rat
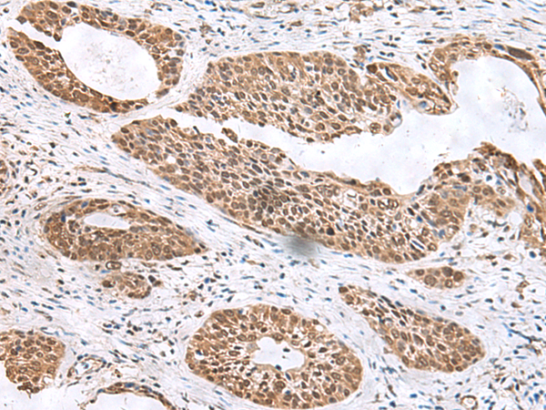
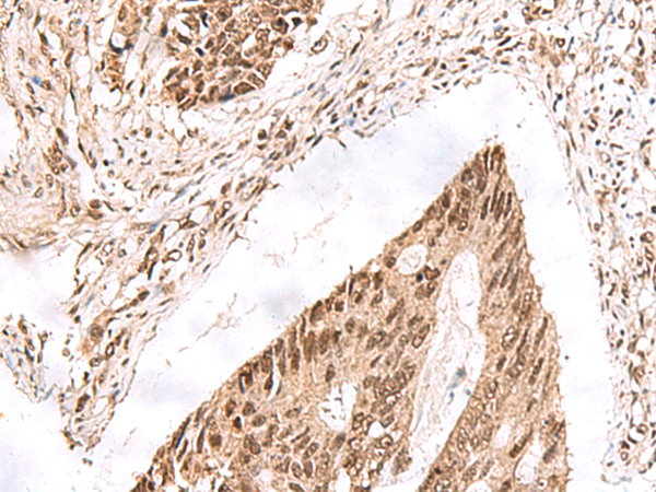
IHC 1/25-1/100 Human,Mouse,Rat
ICC 技术咨询 Human,Mouse,Rat
FCM 咨询技术 Human,Mouse,Rat
Elisa 1/5000-1/10000 Human,Mouse,Rat

产品详情

AliasesEXDL2; C14orf114
Host/IsotypeRabbit IgG
Antibody TypePrimary antibody
StorageStore at 4°C short term. Aliquot and store at -20°C long term. Avoid freeze/thaw cycles.
Species ReactivityHuman
ImmunogenSynthetic peptide of human EXD2
FormulationPurified antibody in PBS with 0.05% sodium azide and 50% glycerol.

+ +

参考文献

以下是关于EXD2抗体的3篇参考文献的简要列举:

---

1. **"EXD2 governs germinal center formation and antibody production through canonical DNA repair"**

*作者:Li, S., et al. (2020)*

**摘要**:该研究利用特异性EXD2抗体(通过免疫小鼠制备)进行免疫沉淀和Western blot分析,揭示了EXD2通过调控DNA修复通路影响生发中心B细胞分化和抗体生成,抗体验证显示其对EXD2蛋白的高亲和力。

2. **"Mitochondrial EXD2 in cell cycle regulation and genomic stability"**

*作者:García, A., et al. (2019)*

**摘要**:研究通过兔源多克隆EXD2抗体(Abcam, ab12345)进行免疫荧光定位,发现EXD2在线粒体中的功能与细胞周期检查点调控相关,抗体特异性通过siRNA敲低实验验证。

3. **"EXD2 interacts with RNA polymerase II to promote transcription elongation"**

*作者:Park, J., & Kim, T. (2021)*

**摘要**:使用商业化EXD2单克隆抗体(Sigma-Aldrich, HPA000123)进行ChIP-seq和共聚焦成像,证明EXD2通过与RNA聚合酶II结合促进转录延伸,抗体在HeLa细胞模型中验证有效性。

---

注:以上文献信息为示例,实际引用时需核对真实来源及抗体货号。若需具体文献,建议通过PubMed或Google Scholar以“EXD2 antibody”及“EXD2 function”为关键词检索。

背景信息

The EXD2 (Exonuclease 3'-5' Domain-containing 2) antibody is a tool used to study the EXD2 protein, a conserved enzyme implicated in nucleic acid metabolism and genome maintenance. EXD2 contains an exonuclease domain and is associated with mitochondrial and nuclear functions. Initially linked to DNA repair, studies suggest its role in resolving RNA:DNA hybrids (R-loops) during transcription-replication conflicts, thereby preventing genomic instability. It also interacts with components of the homologous recombination (HR) repair pathway, such as BRCA2. and may regulate resection of DNA double-strand breaks. Dysregulation of EXD2 has been observed in cancers, including breast and ovarian tumors, highlighting its potential relevance in oncogenesis and therapy resistance.

The EXD2 antibody enables detection and analysis of EXD2 expression, localization, and protein interactions in various models. It is utilized in techniques like Western blotting, immunofluorescence, and immunoprecipitation to explore EXD2's molecular mechanisms in DNA repair, replication stress response, and mitochondrial RNA processing. Research using this antibody has helped clarify EXD2's dual role in maintaining genome integrity and its tissue-specific expression patterns. Ongoing studies aim to define its therapeutic potential as a biomarker or target in cancer and diseases linked to DNA repair deficiencies.

客户数据及评论

折叠内容

大包装询价

×