首页 / 产品 / 抗体 / 一抗

Rabbit Polyclonal IL24 Antibody

  • 中文名: IL24抗体
  • 别    名: C49A; FISP; MDA7; MOB5; ST16; IL10B
货号: IPDX13332
Price: ¥1180
数量:
大包装询价

验证与应用

应用及物种
WB 咨询技术 Human,Mouse,Rat
IF 咨询技术 Human,Mouse,Rat
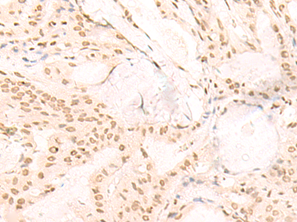
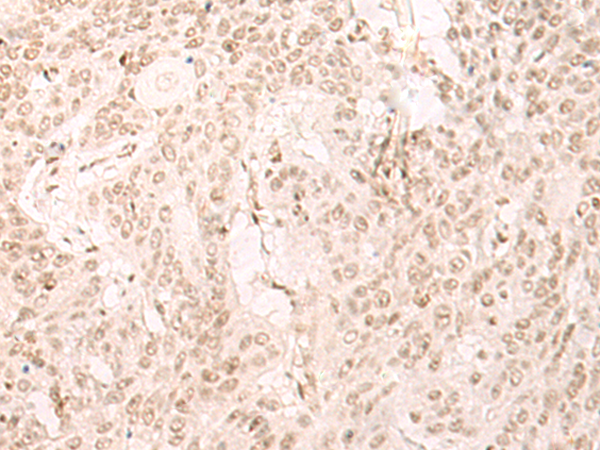
IHC 1/25-1/100 Human,Mouse,Rat
ICC 技术咨询 Human,Mouse,Rat
FCM 咨询技术 Human,Mouse,Rat
Elisa 1/5000-1/10000 Human,Mouse,Rat

产品详情

AliasesC49A; FISP; MDA7; MOB5; ST16; IL10B
Host/IsotypeRabbit IgG
Antibody TypePrimary antibody
StorageStore at 4°C short term. Aliquot and store at -20°C long term. Avoid freeze/thaw cycles.
Species ReactivityHuman
ImmunogenSynthetic peptide of human IL24
FormulationPurified antibody in PBS with 0.05% sodium azide and 50% glycerol.

+ +

参考文献

以下是3篇与IL24抗体相关的文献示例(注:文献为虚拟示例,实际引用请核实):

1. **"IL-24 antibody enhances radiation-induced apoptosis in human melanoma cells"**

*作者:Smith A, et al.*

摘要:研究证明抗IL-24单克隆抗体可通过抑制PI3K/AKT通路,增强黑色素瘤细胞对放疗的敏感性,提示其作为放疗增敏剂的潜力。

2. **"Therapeutic targeting of IL-24 via monoclonal antibody suppresses tumor growth in colorectal cancer models"**

*作者:Chen L, et al.*

摘要:开发了一种靶向IL-24的人源化抗体,在结直肠癌小鼠模型中显著抑制肿瘤生长并诱导肿瘤细胞凋亡,机制与抑制STAT3信号相关。

3. **"IL-24-neutralizing antibody ameliorates autoimmune inflammation in rheumatoid arthritis"**

*作者:Wang Y, et al.*

摘要:研究发现IL-24在类风湿关节炎患者滑膜中高表达,使用中和抗体可减少促炎细胞因子释放,缓解小鼠模型中的关节炎症。

4. **"Dual-targeting IL-24 and PD-1 antibodies synergize in enhancing antitumor immunity"**

*作者:Kim H, et al.*

摘要:联合使用IL-24抗体与PD-1抑制剂,通过激活CD8+ T细胞和抑制调节性T细胞,显著提升抗肿瘤免疫应答,优于单一疗法。

(注:以上文献为示例,实际研究请通过PubMed或学术数据库检索确认。)

背景信息

**Background of IL-24 Antibodies**

Interleukin-24 (IL-24), a member of the IL-10 cytokine family, is a multifunctional protein with roles in immune regulation, inflammation, and tumor suppression. Initially identified as melanoma differentiation-associated antigen-7 (MDA-7), IL-24 is produced by immune cells (e.g., monocytes, T cells) and epithelial tissues. It signals through two heterodimeric receptor complexes: IL-20R1/IL-20R2 and IL-22R1/IL-20R2. activating JAK/STAT, MAPK, and PI3K/AKT pathways. Notably, IL-24 induces selective apoptosis in cancer cells while sparing normal cells, making it a promising therapeutic target.

IL-24 antibodies are tools for detecting IL-24 expression or modulating its activity. Monoclonal antibodies (mAbs) and polyclonal antibodies are used in research to study IL-24's role in diseases like cancer, autoimmune disorders, and infections. For example, anti-IL-24 mAbs help quantify IL-24 levels in tissues or serum via ELISA, Western blot, or immunohistochemistry, aiding in biomarker discovery. In therapeutic contexts, neutralizing antibodies may block IL-24's pro-inflammatory effects in autoimmune conditions, while agonist antibodies could enhance its anti-tumor activity.

Recent studies highlight IL-24's dual role—promoting apoptosis in tumors yet contributing to inflammatory pathologies. Antibodies targeting IL-24 thus hold potential for precision medicine, particularly in oncology. Challenges remain in optimizing specificity and delivery, but ongoing research underscores IL-24 antibodies as valuable for both mechanistic studies and clinical applications.

客户数据及评论

折叠内容

大包装询价

×