首页 / 产品 / 抗体 / 一抗

Rabbit Polyclonal CUX1 Antibody

  • 中文名: CUX1抗体
  • 别    名: CDP; CUX; p75; CASP; CDP1; COY1; Clox; p100; p110; p200; CUTL1; GOLIM6; CDP/Cut; Cux/CDP; Nbla10317
货号: IPDX13219
Price: ¥1180
数量:
大包装询价

验证与应用

应用及物种
WB 咨询技术 Human,Mouse,Rat
IF 咨询技术 Human,Mouse,Rat
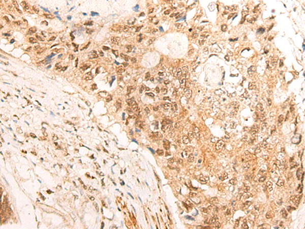
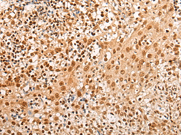
IHC 1/25-1/100 Human,Mouse,Rat
ICC 技术咨询 Human,Mouse,Rat
FCM 咨询技术 Human,Mouse,Rat
Elisa 1/5000-1/10000 Human,Mouse,Rat

产品详情

AliasesCDP; CUX; p75; CASP; CDP1; COY1; Clox; p100; p110; p200; CUTL1; GOLIM6; CDP/Cut; Cux/CDP; Nbla10317
Host/IsotypeRabbit IgG
Antibody TypePrimary antibody
StorageStore at 4°C short term. Aliquot and store at -20°C long term. Avoid freeze/thaw cycles.
Species ReactivityHuman, Mouse, Rat
ImmunogenSynthetic peptide of human CUX1
FormulationPurified antibody in PBS with 0.05% sodium azide and 50% glycerol.

+ +

参考文献

以下是3篇关于CUX1抗体的参考文献,按文献名称、作者及摘要内容概括列出:

1. **文献名称**: "CUT-like homeobox 1 (CUX1) regulates dendritic cell development and function"

**作者**: Ramírez-Valle F, et al.

**摘要**: 研究利用CUX1抗体通过流式细胞术和Western blot分析,发现CUX1在树突状细胞分化中调控关键转录程序,并影响其免疫功能。

2. **文献名称**: "CUX1 modulates the DNA damage response and oxidative stress in breast cancer"

**作者**: Khanna N, et al.

**摘要**: 通过免疫组化(使用CUX1特异性抗体)和基因沉默技术,揭示CUX1在乳腺癌中通过调控DNA修复基因表达促进肿瘤细胞抵抗氧化应激。

3. **文献名称**: "The role of CUX1 in hepatocellular carcinoma progression"

**作者**: Chen L, et al.

**摘要**: 利用CUX1抗体进行免疫印迹和免疫荧光实验,发现CUX1过表达通过激活Wnt/β-catenin通路促进肝癌细胞侵袭和转移。

---

如需更具体的研究细节或更多文献,可进一步补充关键词筛选(如特定疾病或实验方法)。

背景信息

The CUX1 antibody is a crucial tool in studying the CUT-like homeobox 1 (CUX1) protein, encoded by the CUX1 gene located on chromosome 7q22. CUX1 belongs to the Cut homeobox family of transcription factors, characterized by DNA-binding Cut domains and homeodomains. It regulates gene expression involved in cell proliferation, differentiation, and development, with roles in chromatin remodeling, cell cycle progression, and DNA repair. Aberrant CUX1 expression or mutations are linked to hematologic malignancies (e.g., AML, MDS) and solid tumors, where it may act as either an oncogene or tumor suppressor, depending on cellular context.

CUX1 antibodies are widely used in research to detect protein expression via techniques like Western blotting, immunohistochemistry, and immunofluorescence. They help identify CUX1 isoforms generated by alternative splicing or proteolytic processing, which exhibit distinct functional properties. In cancer research, these antibodies aid in exploring CUX1's dual role: full-length isoforms may promote tumorigenesis, while truncated forms are associated with genomic instability and poor prognosis. Additionally, CUX1 antibodies contribute to understanding developmental defects and autoimmune conditions linked to CUX1 dysregulation. Their specificity and validation remain critical for clarifying CUX1's complex biological mechanisms and therapeutic potential.

客户数据及评论

折叠内容

大包装询价

×