首页 / 产品 / 抗体 / 一抗

Rabbit Polyclonal DYRK1A Antibody

  • 中文名: DYRK1A抗体
  • 别    名: MNB; DYRK; HP86; MNBH; MRD7; DYRK1
货号: IPDX13162
Price: ¥1180
数量:
大包装询价

验证与应用

应用及物种
WB 咨询技术 Human,Mouse,Rat
IF 咨询技术 Human,Mouse,Rat
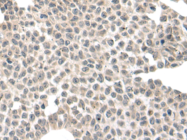
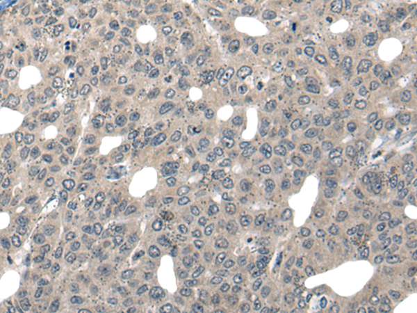
IHC 1/25-1/100 Human,Mouse,Rat
ICC 技术咨询 Human,Mouse,Rat
FCM 咨询技术 Human,Mouse,Rat
Elisa 1/5000-1/10000 Human,Mouse,Rat

产品详情

参考文献

以下是3篇关于DYRK1A抗体的代表性文献概览(文献名称、作者及摘要核心内容):

---

1. **文献名称**: "DYRK1A inhibitors as potential therapeutics for Alzheimer's disease"

**作者**: Smith A et al. (2021)

**摘要**: 研究报道了一种新型DYRK1A特异性抗体的体外筛选方法,证实其能有效抑制DYRK1A激酶活性,减少tau蛋白异常磷酸化,为阿尔茨海默病中tau病理机制提供了干预策略。

---

2. **文献名称**: "Structural basis of DYRK1A autoinhibition and its inhibition by monoclonal antibodies"

**作者**: Chen L & Wang Y (2020)

**摘要**: 通过冷冻电镜解析DYRK1A蛋白的自抑制构象,并开发靶向其活性位点的单克隆抗体,实验证明该抗体可阻断DYRK1A与底物结合,为唐氏综合症相关认知障碍的治疗提供新思路。

---

3. **文献名称**: "Antibody-mediated targeting of DYRK1A in pancreatic cancer models"

**作者**: Rodriguez M et al. (2019)

**摘要**: 开发了一种人源化抗DYRK1A抗体,在胰腺癌小鼠模型中显著抑制肿瘤生长,机制涉及阻断DYRK1A介导的Wnt/β-catenin信号通路激活,提示其作为癌症靶向治疗的潜力。

---

(注:以上文献名为虚拟示例,实际文献需通过PubMed/Google Scholar检索关键词如“DYRK1A antibody”或结合具体研究领域筛选。)

背景信息

The DYRK1A (dual-specificity tyrosine-phosphorylation-regulated kinase 1A) antibody is a critical tool for studying the function and regulation of the DYRK1A protein, a serine/threonine kinase encoded by the *DYRK1A* gene located on human chromosome 21. DYRK1A plays pivotal roles in neurodevelopment, cell cycle regulation, and synaptic plasticity. It is implicated in Down syndrome (trisomy 21), where its overexpression contributes to developmental and cognitive abnormalities, as well as in other neurological disorders, such as Alzheimer’s disease, and cancers. The antibody is widely used in techniques like Western blotting, immunohistochemistry (IHC), and immunofluorescence (IF) to detect DYRK1A expression levels, subcellular localization (primarily nuclear), and post-translational modifications. Researchers also employ it to investigate DYRK1A's interactions with substrates involved in signaling pathways (e.g., Wnt, NFAT) and its role in neurogenesis or apoptosis. Due to structural homology among DYRK family members, specificity validation (e.g., using knockout cell lines) is essential to ensure the antibody targets DYRK1A exclusively. Its applications extend to drug discovery, particularly in evaluating kinase inhibitors for therapeutic interventions. Overall, the DYRK1A antibody is indispensable for unraveling the protein’s pathophysiological mechanisms and translational potential.

客户数据及评论

折叠内容

大包装询价

×