| WB | 咨询技术 | Human,Mouse,Rat |
| IF | 咨询技术 | Human,Mouse,Rat |
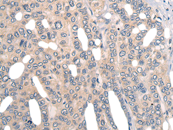
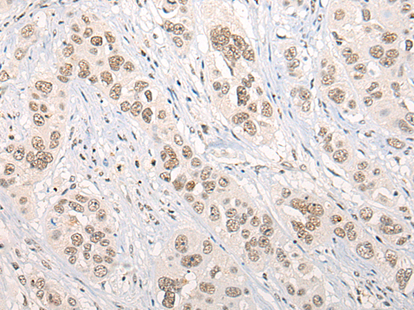
| IHC | 1/20-1/100 | Human,Mouse,Rat |
| ICC | 技术咨询 | Human,Mouse,Rat |
| FCM | 咨询技术 | Human,Mouse,Rat |
| Elisa | 1/5000-1/10000 | Human,Mouse,Rat |
| Aliases | PRP8; RP13; HPRP8; PRPC8; SNRNP220 |
| WB Predicted band size | 274 kDa |
| Host/Isotype | Rabbit IgG |
| Antibody Type | Primary antibody |
| Storage | Store at 4°C short term. Aliquot and store at -20°C long term. Avoid freeze/thaw cycles. |
| Species Reactivity | Human, Mouse |
| Immunogen | Synthetic peptide of human PRPF8 |
| Formulation | Purified antibody in PBS with 0.05% sodium azide and 50% glycerol. |
+ +
以下是3-4篇关于PRPF8抗体的参考文献及简要摘要:
---
1. **文献名称**:*Mutations in the pre-mRNA splicing factor gene PRPF8 cause autosomal dominant retinitis pigmentosa*
**作者**:Keeling KM et al.
**摘要**:该研究利用PRPF8特异性抗体进行免疫荧光和Western blot分析,发现PRPF8基因突变导致其蛋白在视网膜细胞中异常聚集,与常染色体显性遗传视网膜色素变性相关。
---
2. **文献名称**:*PRPF8 promotes colorectal cancer progression by regulating the splicing of oncogenic spliceosomes*
**作者**:He J et al.
**摘要**:通过免疫组化(使用PRPF8抗体)和RNA测序,研究发现PRPF8在结直肠癌中高表达,并通过调控癌相关剪接异构体的生成促进肿瘤侵袭和转移。
---
3. **文献名称**:*The role of PRPF8 in the assembly and dynamics of the spliceosome*
**作者**:Grainger RJ, Beggs JD
**摘要**:利用PRPF8抗体进行免疫共沉淀实验,揭示了PRPF8在剪接体组装中的核心作用,并发现其通过与其他剪接因子相互作用维持剪接体的稳定性。
---
4. **文献名称**:*Structural insights into PRPF8-mediated spliceosome activation*
**作者**:Zhang X et al.
**摘要**:结合冷冻电镜技术和PRPF8抗体的免疫标记,研究解析了PRPF8在剪接体激活过程中的三维结构,阐明了其通过构象变化调控pre-mRNA剪接的分子机制。
---
这些文献涵盖了PRPF8抗体在疾病机制、癌症研究和剪接体结构分析中的应用。
The PRPF8 antibody targets the PRPF8 protein, a critical component of the spliceosome responsible for pre-mRNA processing in eukaryotic cells. PRPF8 (pre-mRNA processing factor 8) is a highly conserved, multidomain protein that serves as a scaffolding element within the U5 small nuclear ribonucleoprotein (snRNP) complex. It plays an essential role in spliceosome assembly, catalytic activation, and splicing fidelity by mediating interactions between spliceosomal components and the pre-mRNA substrate. PRPF8 contains multiple functional domains, including a Jab1/MPN domain, a RNA recognition motif (RRM), and a conserved C-terminal region, which facilitate its binding to snRNAs, proteins, and regulatory factors.
PRPF8 antibodies are widely used in molecular biology and biomedical research to study spliceosome dynamics, RNA splicing mechanisms, and disease-associated dysregulation. Mutations in PRPF8 are linked to human diseases, notably autosomal dominant retinitis pigmentosa (adRP), making these antibodies valuable tools for investigating disease pathogenesis. In experimental settings, PRPF8 antibodies are employed in techniques such as Western blotting, immunofluorescence, immunoprecipitation, and CRISPR/Cas9 validation to assess protein expression, localization, and interactions. Commercial PRPF8 antibodies are typically raised against specific epitopes, often within the N-terminal or C-terminal regions, and validated for cross-reactivity across species, including humans, mice, and zebrafish. Their application extends to cancer research, neurodegenerative studies, and developmental biology, underscoring PRPF8's broad functional significance in cellular homeostasis and disease.
×