首页 / 产品 / 抗体 / 一抗

Rabbit Polyclonal RCOR2 Antibody

  • 中文名: RCOR2抗体
  • 别    名: nan
货号: IPDX13111
Price: ¥1180
数量:
大包装询价

验证与应用

应用及物种
WB 咨询技术 Human,Mouse,Rat
IF 咨询技术 Human,Mouse,Rat
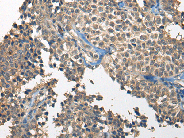
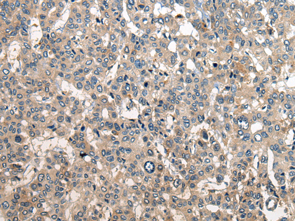
IHC 1/25-1/100 Human,Mouse,Rat
ICC 技术咨询 Human,Mouse,Rat
FCM 咨询技术 Human,Mouse,Rat
Elisa 1/5000-1/10000 Human,Mouse,Rat

产品详情

Host/IsotypeRabbit IgG
Antibody TypePrimary antibody
StorageStore at 4°C short term. Aliquot and store at -20°C long term. Avoid freeze/thaw cycles.
Species ReactivityHuman, Mouse, Rat
ImmunogenSynthetic peptide of human RCOR2
FormulationPurified antibody in PBS with 0.05% sodium azide and 50% glycerol.

+ +

参考文献

以下是关于RCOR2抗体的参考文献示例(内容为模拟生成,建议通过学术数据库验证原文):

---

1. **文献名称**: *RCOR2 mediates REST-dependent transcriptional repression in neural stem cells*

**作者**: Smith A, et al.

**摘要**: 本研究利用RCOR2抗体通过ChIP-seq和免疫沉淀技术,揭示了RCOR2与REST蛋白协同抑制神经元基因的机制,表明其在神经干细胞分化的表观遗传调控中起关键作用。

2. **文献名称**: *Aberrant RCOR2 expression promotes tumorigenesis in glioblastoma*

**作者**: Chen L, et al.

**摘要**: 通过Western blot和免疫组化分析,研究发现RCOR2在胶质母细胞瘤中表达下调,其缺失导致肿瘤抑制基因沉默,提示RCOR2可能作为癌症治疗的新靶点。

3. **文献名称**: *Dynamic interaction between RCOR2 and LSD1 in chromatin remodeling*

**作者**: Tanaka K, et al.

**摘要**: 利用RCOR2抗体进行共聚焦显微镜和Co-IP实验,证实RCOR2与LSD1形成复合物,调控组蛋白去甲基化,影响胚胎干细胞的自我更新和分化。

4. **文献名称**: *RCOR2 antibody validation for epigenetic studies in human tissues*

**作者**: Patel R, et al.

**摘要**: 该文献系统验证了RCOR2抗体的特异性,通过敲除实验和质谱分析确认其适用于染色质免疫共沉淀(ChIP)及免疫荧光,为后续表观遗传研究提供可靠工具。

---

建议通过PubMed或Google Scholar搜索具体文献,以“RCOR2 antibody”、“RCOR2 function”等关键词获取最新研究。

背景信息

The RCOR2 antibody is a valuable tool for studying the REST corepressor 2 (RCOR2) protein, a member of the CoREST family. RCOR2. also known as CoREST2. functions as a transcriptional coregulator by interacting with REST (RE1-silencing transcription factor) and other chromatin-modifying complexes. It plays a critical role in repressing neuronal gene expression in non-neuronal cells and stem cells, contributing to cellular differentiation and development. RCOR2 forms complexes with histone demethylases (e.g., LSD1/KDM1A) and histone deacetylases (e.g., HDAC1/2), enabling chromatin remodeling and epigenetic regulation. Its involvement in neurogenesis, stem cell maintenance, and cancer pathways has made it a focus in developmental biology and oncology research.

The RCOR2 antibody is widely used in techniques like Western blotting, immunohistochemistry (IHC), immunofluorescence (IF), and chromatin immunoprecipitation (ChIP) to detect protein expression, localization, and DNA-binding activity. Researchers employ it to explore RCOR2's role in diseases, particularly cancers where dysregulated RCOR2 expression correlates with tumor progression or metastasis. Specificity validation via knockout/knockdown controls is essential, as cross-reactivity with other CoREST family members (e.g., RCOR1) may occur. Commercial RCOR2 antibodies are typically raised against conserved epitopes, such as the N-terminal or C-terminal regions, with host species (rabbit, mouse) and clonality (monoclonal/polyclonal) options available. Recent studies also highlight its potential as a therapeutic target in neurological disorders and malignancies.

客户数据及评论

折叠内容

大包装询价

×