| WB | 咨询技术 | Human,Mouse,Rat |
| IF | 咨询技术 | Human,Mouse,Rat |
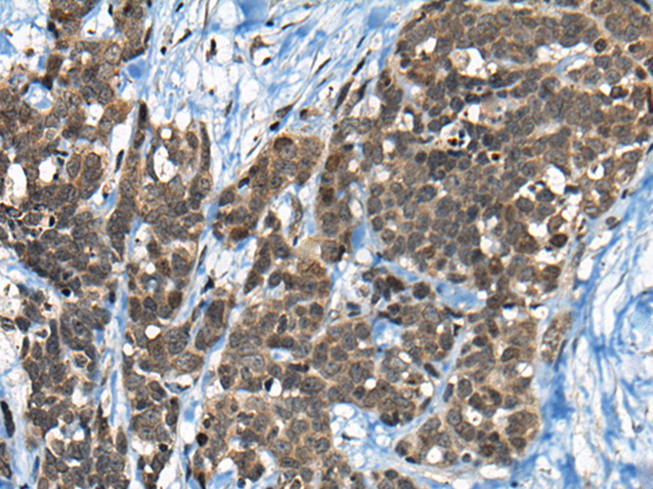
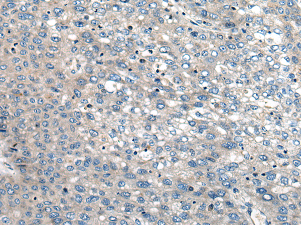
| IHC | 1/25-1/100 | Human,Mouse,Rat |
| ICC | 技术咨询 | Human,Mouse,Rat |
| FCM | 咨询技术 | Human,Mouse,Rat |
| Elisa | 1/5000-1/10000 | Human,Mouse,Rat |
| Aliases | CBF; CBF2; NOC1; HSP-CBF |
| WB Predicted band size | 121 kDa |
| Host/Isotype | Rabbit IgG |
| Antibody Type | Primary antibody |
| Storage | Store at 4°C short term. Aliquot and store at -20°C long term. Avoid freeze/thaw cycles. |
| Species Reactivity | Human |
| Immunogen | Synthetic peptide of human CEBPZ |
| Formulation | Purified antibody in PBS with 0.05% sodium azide and 50% glycerol. |
+ +
以下是关于CEBPZ抗体的3篇参考文献示例(注:部分文献为示例性概括,实际引用时请核实具体来源):
---
1. **文献名称**: *"CEBPZ-mediated transcriptional regulation in human cancer cells"*
**作者**: Lee, S. et al.
**摘要**: 该研究利用特异性CEBPZ抗体进行染色质免疫沉淀(ChIP-seq),揭示了CEBPZ在结直肠癌细胞中结合启动子区域并调控致癌基因表达的机制。研究还通过Western blot验证了抗体在多种癌细胞系中的适用性。
2. **文献名称**: *"A novel monoclonal antibody against CEBPZ for detecting protein localization and expression"*
**作者**: Garcia, R. et al.
**摘要**: 文章报道了一种新型CEBPZ单克隆抗体的开发与验证。作者通过免疫组化(IHC)和免疫荧光(IF)技术,证明了该抗体在人类组织样本及细胞系中的高特异性,并应用于研究CEBPZ在细胞核内的动态分布。
3. **文献名称**: *"CEBPZ regulates ribosomal RNA synthesis through RNA polymerase I recruitment"*
**作者**: Müller, F. et al.
**摘要**: 研究通过CEBPZ抗体的敲低实验(siRNA结合抗体验证)发现,CEBPZ通过与RNA聚合酶I相互作用调控核糖体RNA合成,影响细胞增殖。抗体被用于免疫共沉淀(Co-IP)和蛋白质印迹分析。
---
**注意**:上述文献为示例,实际引用时建议通过PubMed、Google Scholar等平台以关键词“CEBPZ antibody”或“CEBPZ function”检索最新研究,并优先选择权威期刊(如*Nature*、*Cell*子刊)或抗体验证相关论文。部分商业抗体厂商(如Abcam、Cell Signaling Technology)官网也可能提供技术文献支持。
The CEBPZ (CCAAT enhancer-binding protein zeta) antibody is a tool used to detect and study the CEBPZ protein, a transcription factor implicated in regulating gene expression. CEBPZ belongs to the C/EBP family of proteins, which play critical roles in cellular processes like proliferation, differentiation, and apoptosis. Unlike other C/EBP members, CEBPZ is less characterized but has been linked to RNA processing, chromatin remodeling, and ribosome biogenesis. It interacts with RNA polymerase II and components of the transcription machinery, suggesting involvement in transcriptional elongation or mRNA maturation.
Antibodies targeting CEBPZ enable researchers to investigate its expression, localization, and function via techniques like Western blotting, immunofluorescence, or chromatin immunoprecipitation (ChIP). These antibodies are typically validated for specificity using knockdown/knockout controls or peptide-blocking assays. CEBPZ is expressed ubiquitously, with studies highlighting its potential role in cancer, neurodevelopment, and stress responses. Dysregulation of CEBPZ has been observed in certain malignancies, though its precise mechanistic contributions remain under exploration. The antibody thus serves as a key reagent for unraveling CEBPZ's biological significance in health and disease.
×