| WB | 咨询技术 | Human,Mouse,Rat |
| IF | 咨询技术 | Human,Mouse,Rat |
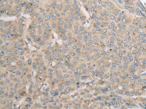
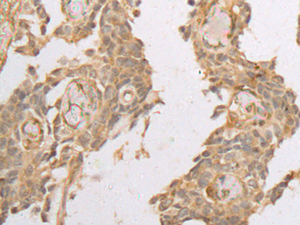
| IHC | 1/25-1/100 | Human,Mouse,Rat |
| ICC | 技术咨询 | Human,Mouse,Rat |
| FCM | 咨询技术 | Human,Mouse,Rat |
| Elisa | 1/5000-1/10000 | Human,Mouse,Rat |
| Aliases | PKACA; PPNAD4 |
| WB Predicted band size | 41 kDa |
| Host/Isotype | Rabbit IgG |
| Antibody Type | Primary antibody |
| Storage | Store at 4°C short term. Aliquot and store at -20°C long term. Avoid freeze/thaw cycles. |
| Species Reactivity | Human, Mouse, Rat |
| Immunogen | Synthetic peptide of human PRKACA |
| Formulation | Purified antibody in PBS with 0.05% sodium azide and 50% glycerol. |
+ +
以下是关于PRKACA抗体的3篇参考文献,涵盖不同研究领域中的应用:
1. **"Recurrent activating mutation in PRKACA in cortisol-producing adrenal tumors"**
- **作者**: Cao Y, et al.
- **摘要**: 该研究通过全外显子测序发现肾上腺皮质肿瘤中PRKACA基因的体细胞突变,并利用PRKACA抗体进行Western blot和免疫组化分析,证实突变导致蛋白激酶A活性异常升高,进而促进肿瘤发生。
2. **"Protein kinase A controls hepatic lipid metabolism through phosphorylation of GEF-H1"**
- **作者**: Heideman J, et al.
- **摘要**: 研究揭示了PRKACA通过磷酸化GEF-H1调控肝脏脂质代谢的机制,使用特异性PRKACA抗体检测小鼠肝脏组织中的蛋白表达及定位,证明其在代谢疾病中的潜在作用。
3. **"PRKACA-mediated phosphorylation of Twist1 promotes tumor metastasis via canonical Wnt signaling"**
- **作者**: Li X, et al.
- **摘要**: 该文献报道PRKACA通过磷酸化转录因子Twist1增强Wnt信号通路,促进癌症转移。研究采用PRKACA抗体进行免疫沉淀和免疫荧光实验,验证其在乳腺癌细胞中的功能及临床预后相关性。
以上文献展示了PRKACA抗体在肿瘤机制、代谢调控及癌症转移研究中的关键作用,涵盖蛋白表达分析、磷酸化检测及亚细胞定位等应用场景。
The protein kinase A (PKA) catalytic subunit alpha (PRKACA) is a critical enzyme in the cAMP-dependent signaling pathway, regulating diverse cellular processes such as metabolism, gene expression, and cell cycle progression. PRKACA antibodies are tools designed to detect and study this kinase in research and diagnostic contexts. These antibodies target specific epitopes on PRKACA, enabling applications like Western blotting, immunohistochemistry, and immunofluorescence to visualize protein expression, localization, and post-translational modifications.
PRKACA dysfunction is implicated in various diseases. For example, somatic mutations or aberrant expression of PRKACA are linked to cortisol-producing adrenal tumors (e.g., Cushing’s syndrome) and cardiac hypertrophy. Antibodies against PRKACA help investigate these mechanisms by identifying overexpression or activating mutations in tissue samples. They also aid in validating experimental models, such as CRISPR-edited cell lines or animal models, to study PKA-related pathways.
Commercial PRKACA antibodies are typically raised in hosts like rabbits or mice, with validation across species (human, mouse, rat). Specificity is confirmed using knockout controls or peptide blocking assays. Researchers prioritize antibodies with high affinity and minimal cross-reactivity to other PKA subunits (e.g., PRKACB, PRKACG). As PKA signaling intersects with numerous therapeutic targets, PRKACA antibodies remain vital for unraveling disease biology and drug discovery efforts.
×