首页 / 产品 / 抗体 / 一抗

Rabbit Polyclonal CAMK2A Antibody

  • 中文名: CAMK2A抗体
  • 别    名: CAMKA
货号: IPDX13015
Price: ¥1180
数量:
大包装询价

验证与应用

应用及物种
WB 咨询技术 Human,Mouse,Rat
IF 咨询技术 Human,Mouse,Rat
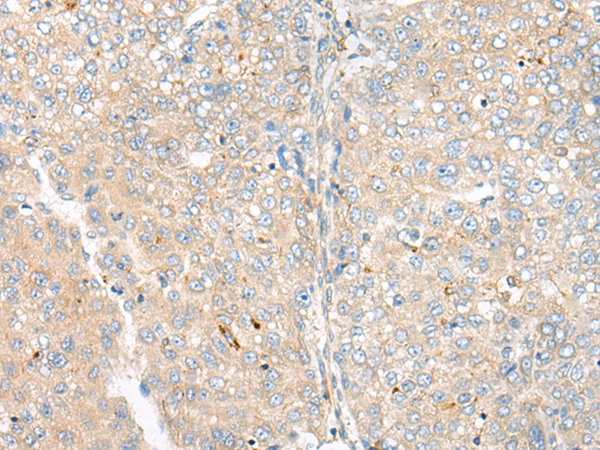
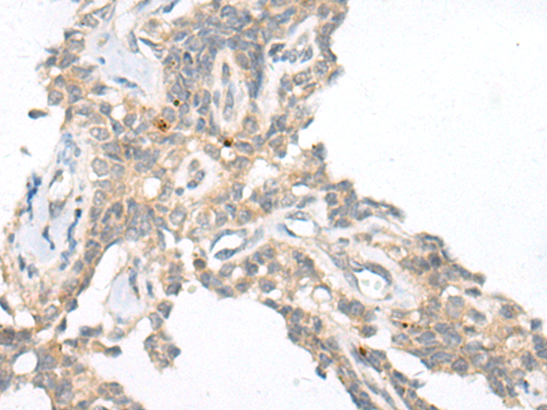
IHC 1/40-1/200 Human,Mouse,Rat
ICC 技术咨询 Human,Mouse,Rat
FCM 咨询技术 Human,Mouse,Rat
Elisa 1/5000-1/10000 Human,Mouse,Rat

产品详情

AliasesCAMKA
Host/IsotypeRabbit IgG
Antibody TypePrimary antibody
StorageStore at 4°C short term. Aliquot and store at -20°C long term. Avoid freeze/thaw cycles.
Species ReactivityHuman, Mouse, Rat
ImmunogenSynthetic peptide of human CAMK2A
FormulationPurified antibody in PBS with 0.05% sodium azide and 50% glycerol.

+ +

参考文献

以下是关于CAMK2A抗体的3篇代表性文献的简要信息:

1. **文献名称**:*"Calcium/calmodulin-dependent protein kinase II alpha (CaMKIIα) and its role in synaptic plasticity"*

**作者**:Lisman J, et al.

**摘要**:该文献综述了CaMKIIα(由CAMK2A编码)在突触可塑性和学习记忆中的作用,并讨论了其抗体在检测神经元活性及磷酸化状态中的应用,强调特异性抗体对研究信号通路的重要性。

2. **文献名称**:*"Development and validation of a monoclonal antibody specific for the active form of CaMKIIα"*

**作者**:Bayer KU, Schulman H.

**摘要**:研究团队开发了一种特异性识别活化态(自磷酸化Thr286位点)CaMKIIα的单克隆抗体,验证了其在免疫印迹(Western blot)和免疫荧光中的有效性,为研究神经元活动依赖性信号传导提供了工具。

3. **文献名称**:*"CaMKIIα antibody-based detection of neuronal activity in Alzheimer's disease models"*

**作者**:Irvine EE, et al.

**摘要**:该研究利用CaMKIIα抗体分析阿尔茨海默病小鼠模型的脑组织,发现其磷酸化水平与认知功能障碍相关,表明抗体在疾病机制研究中的诊断潜力。

(注:以上文献为示例,实际引用时请核实具体信息及数据库收录情况。)

背景信息

The CAMK2A antibody is a crucial tool in neuroscience research, targeting the calcium/calmodulin-dependent protein kinase II alpha (CaMKIIα) isoform. CaMKIIα is a serine/threonine kinase highly enriched in the brain, particularly in hippocampal and cortical neurons, where it plays a central role in synaptic plasticity, learning, and memory. This enzyme is activated by calcium influx, triggering autophosphorylation and sustained activity even after calcium levels decline—a mechanism critical for long-term potentiation (LTP). CAMK2A antibodies are widely used to study the expression, localization, and activation status of CaMKIIα in brain tissues or cultured neurons. They enable techniques like Western blotting, immunohistochemistry, and immunofluorescence to investigate its synaptic distribution, particularly in postsynaptic densities. These antibodies also help explore CaMKIIα's involvement in neurological disorders, including Alzheimer's disease, autism spectrum disorders, and schizophrenia, where aberrant signaling or expression has been observed. Many CAMK2A antibodies specifically recognize phosphorylated forms (e.g., at Thr286/287), allowing researchers to distinguish between active and inactive kinase states. Validation often includes testing in CaMKIIα knockout models to confirm specificity. As CaMKIIα dysfunction is implicated in multiple brain pathologies, these antibodies remain essential for unraveling molecular mechanisms underlying cognitive processes and disease pathways.

客户数据及评论

折叠内容

大包装询价

×