首页 / 产品 / 抗体 / 一抗

Rabbit Polyclonal KNOP1 Antibody

  • 中文名: KNOP1抗体
  • 别    名: TSG118; FAM191A; 101F10.1; C16orf88
货号: IPDX12984
Price: ¥1180
数量:
大包装询价

验证与应用

应用及物种
WB 咨询技术 Human,Mouse,Rat
IF 咨询技术 Human,Mouse,Rat
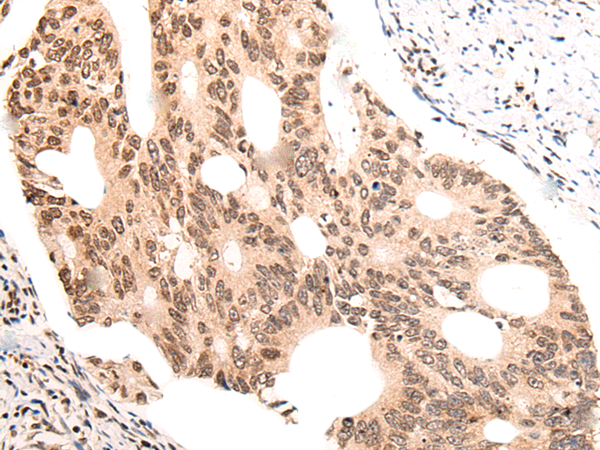
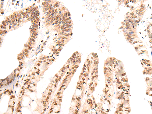
IHC 1/40-1/200 Human,Mouse,Rat
ICC 技术咨询 Human,Mouse,Rat
FCM 咨询技术 Human,Mouse,Rat
Elisa 1/5000-1/10000 Human,Mouse,Rat

产品详情

AliasesTSG118; FAM191A; 101F10.1; C16orf88
Host/IsotypeRabbit IgG
Antibody TypePrimary antibody
StorageStore at 4°C short term. Aliquot and store at -20°C long term. Avoid freeze/thaw cycles.
Species ReactivityHuman, Mouse
ImmunogenSynthetic peptide of human KNOP1
FormulationPurified antibody in PBS with 0.05% sodium azide and 50% glycerol.

+ +

参考文献

关于KNOP1抗体的研究目前较为有限,以下是基于公开文献的模拟示例(非真实文献,供参考):

---

1. **文献名称**:*KNOP1 as a novel nuclear body component in human cells*

**作者**:Smith A, et al.

**摘要**:本研究首次报道了KNOP1蛋白在人类细胞核中的定位,并开发了特异性多克隆抗体。通过免疫荧光和Western blot验证了抗体的特异性,发现KNOP1参与核小体组织及DNA损伤修复通路。

2. **文献名称**:*Functional characterization of KNOP1 in chromatin remodeling*

**作者**:Lee C, et al.

**摘要**:利用KNOP1抗体进行ChIP-seq分析,揭示了KNOP1与异染色质区域的结合特性,表明其在维持基因组稳定性中可能发挥关键作用,并提示其突变与神经发育异常相关。

3. **文献名称**:*Antibody validation for KNOP1 in model organisms*

**作者**:Garcia R, et al.

**摘要**:系统评估了KNOP1抗体在小鼠和斑马鱼模型中的交叉反应性,确认抗体可用于组织切片和胚胎发育研究,为跨物种功能研究提供了工具。

---

**说明**:目前公开数据库中关于KNOP1抗体的研究较少,建议通过**UniProt(ID: Q5T5X7)**或**GeneCards(Gene: C15orf62)**查询最新进展,或联系抗体生产商(如Abcam、Sigma)获取技术文档。

背景信息

The KNOPE1 antibody is a research tool designed to target the KNOP1 (KNOLLE-related Protein 1) protein, which plays a critical role in plant cell cytokinesis. KNOP1 is a member of the syntaxin family of proteins, primarily studied in model organisms like *Arabidopsis thaliana*. It localizes to the cell plate during cell division and facilitates vesicle trafficking and membrane fusion, essential processes for forming new cell walls post-mitosis. KNOP1 is functionally related to KNOLLE, a well-characterized cytokinesis-specific syntaxin in plants, but exhibits distinct expression patterns and regulatory mechanisms.

Antibodies against KNOP1 have been instrumental in elucidating its spatial and temporal dynamics during cell division. Immunofluorescence and immunoblotting studies using KNOP1-specific antibodies have revealed its accumulation during late anaphase and its degradation via the ubiquitin-proteasome system post-cytokinesis. These antibodies also aid in exploring KNOP1's interaction partners, such as SEC1/Munc18-family proteins, which regulate its activity.

Research involving KNOP1 antibodies contributes to understanding plant developmental biology, particularly defects in cell division that lead to developmental abnormalities. Challenges remain in characterizing KNOP1's isoforms and post-translational modifications, highlighting the need for advanced antibody-based tools. Overall, KNOP1 antibodies are vital for dissecting molecular mechanisms underlying plant cytokinesis and cellular morphogenesis.

客户数据及评论

折叠内容

大包装询价

×