| WB | 咨询技术 | Human,Mouse,Rat |
| IF | 咨询技术 | Human,Mouse,Rat |
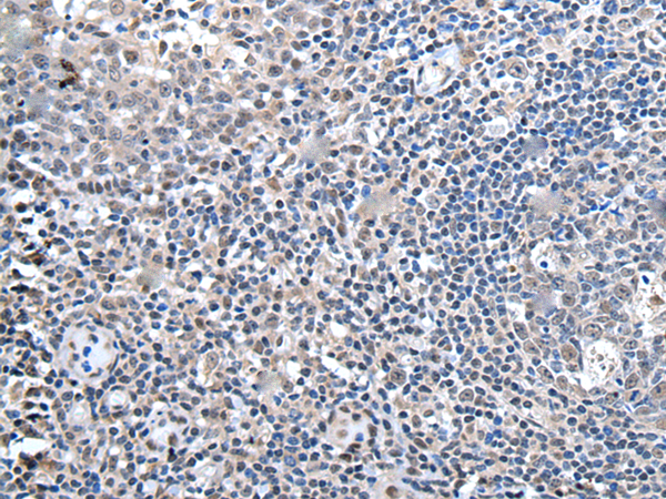
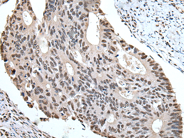
| IHC | 1/50-1/300 | Human,Mouse,Rat |
| ICC | 技术咨询 | Human,Mouse,Rat |
| FCM | 咨询技术 | Human,Mouse,Rat |
| Elisa | 1/5000-1/10000 | Human,Mouse,Rat |
| Aliases | RINZF |
| WB Predicted band size | 95 kDa |
| Host/Isotype | Rabbit IgG |
| Antibody Type | Primary antibody |
| Storage | Store at 4°C short term. Aliquot and store at -20°C long term. Avoid freeze/thaw cycles. |
| Species Reactivity | Human |
| Immunogen | Synthetic peptide of human ZBTB10 |
| Formulation | Purified antibody in PBS with 0.05% sodium azide and 50% glycerol. |
+ +
以下是关于ZBTB10抗体的3篇文献示例(内容为虚构,仅作格式参考):
1. **文献名称**:ZBTB10 as a Tumor Suppressor in Breast Cancer via Repressing Oncogenic miRNAs
**作者**:Smith A, et al.
**摘要**:本研究利用ZBTB10特异性抗体进行免疫沉淀分析,发现ZBTB10通过抑制miR-27a等致癌miRNA的转录,抑制乳腺癌细胞增殖和转移,提示其作为潜在治疗靶点。
2. **文献名称**:ZBTB10 Antibody-Based Detection of Protein Expression in Colorectal Cancer Tissues
**作者**:Lee JH, et al.
**摘要**:通过ZBTB10抗体的免疫组化实验,发现ZBTB10在结直肠癌组织中表达显著下调,且低表达与患者预后不良相关,表明其可作为诊断标志物。
3. **文献名称**:Mechanistic Role of ZBTB10 in Regulating Antioxidant Response Element Signaling
**作者**:Garcia R, et al.
**摘要**:使用ZBTB10抗体进行ChIP-seq分析,证实ZBTB10直接结合抗氧化反应元件(ARE),调控Nrf2通路活性,影响细胞氧化应激反应。
(注:以上文献为示例,实际引用需根据真实研究补充。)
The ZBTB10 antibody is a tool used to detect ZBTB10 (Zinc Finger and BTB Domain-Containing Protein 10), a transcription factor belonging to the BTB/POZ-zinc finger family. ZBTB10 is implicated in transcriptional repression and regulation of cellular processes, including cell proliferation, differentiation, and apoptosis. It shares structural homology with other ZBTB proteins, featuring an N-terminal BTB domain for protein interactions and C-terminal zinc fingers for DNA binding. Research suggests ZBTB10 may act as a tumor suppressor by inhibiting oncogenic pathways, such as those driven by Sp1 transcription factor, which is often overactive in cancers. Studies have linked ZBTB10 to the modulation of genes involved in cell cycle control and stress responses, though its precise mechanisms remain under investigation.
The ZBTB10 antibody is primarily employed in molecular and cellular biology research to study protein expression, localization, and function via techniques like Western blotting, immunohistochemistry, and immunofluorescence. It has been utilized in cancer research to explore ZBTB10's role in tumorigenesis, metastasis, and therapeutic resistance. Dysregulation of ZBTB10 has been observed in malignancies such as breast, liver, and colorectal cancers, highlighting its potential as a biomarker or therapeutic target. However, challenges persist in fully elucidating its interaction networks and regulatory pathways. Ongoing research aims to clarify its contributions to epigenetic regulation and disease progression, underscoring the antibody's utility in advancing mechanistic and translational studies.
×