| 经过测试的应用 | |
| WB | WB-1/500 - 1/2000 |
| IHC | IHC- 1/100 - 1/500 |
| IF/ICC | IF/ICC-1/50 - 1/500 |
| FCM | FCM-1/200 - 1/400 |
| ELISA | ELISA-1/10000 |
| 反应物种 | Human,Mouse,Rat,Monkey,Rabbit |
| 抗体类型 | Primary antibody |
| 克隆性 | Monoclonal |
| 宿主 | Mouse IgG1 |
| 基因名 | TMC4(N-term) |
| 分子量 | 78 kDa |
| 形式 | Liquid |
| 存储缓冲液 | Purified antibody in PBS with 0.05% sodium azide and 50% glycerol. |
| 储存 | Store at 4°C short term. Aliquot and store at -20°C long term. Avoid freeze/thaw cycles. |

Western blot analysis using TMC4(N-term) mouse mAb against NIH/3T3 (1), Hela (2) and Jurkat (3) cell lysate.
Western blot analysis using TMC4(N-term) mouse mAb against Mouse brain(1)PC-12(2)F9(3)COS-7(4) cell lysate.
Immunofluorescence analysis of COS7 cells using TMC4(N-term) mouse mAb (green). Blue: DRAQ5 fluorescent DNA dye. Red: Actin filaments have been labeled with Alexa Fluor- 555 phalloidin.
Flow cytometric analysis of COS7 cells using TMC4(N-term) mouse mAb (green) and negative control (red).
Flow cytometric analysis of Hela cells using TMC4(N-term) mouse mAb (green) and negative control (red).
Flow cytometric analysis of NIH/3T3 cells using TMC4(N-term) mouse mAb (green) and negative control (red).
Flow cytometric analysis of PC-12 cells using TMC4(N-term) mouse mAb (green) and negative control (red).
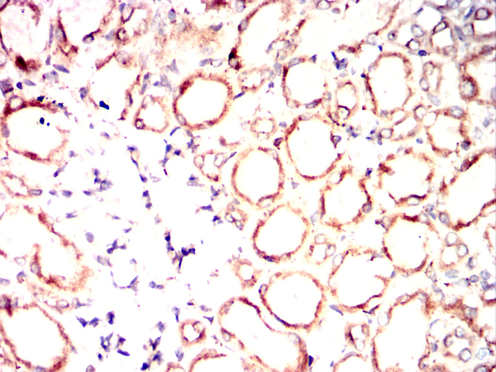
Immunohistochemical analysis of paraffin-embedded human Thyroid tissues using TMC4(N-term) mouse mAb
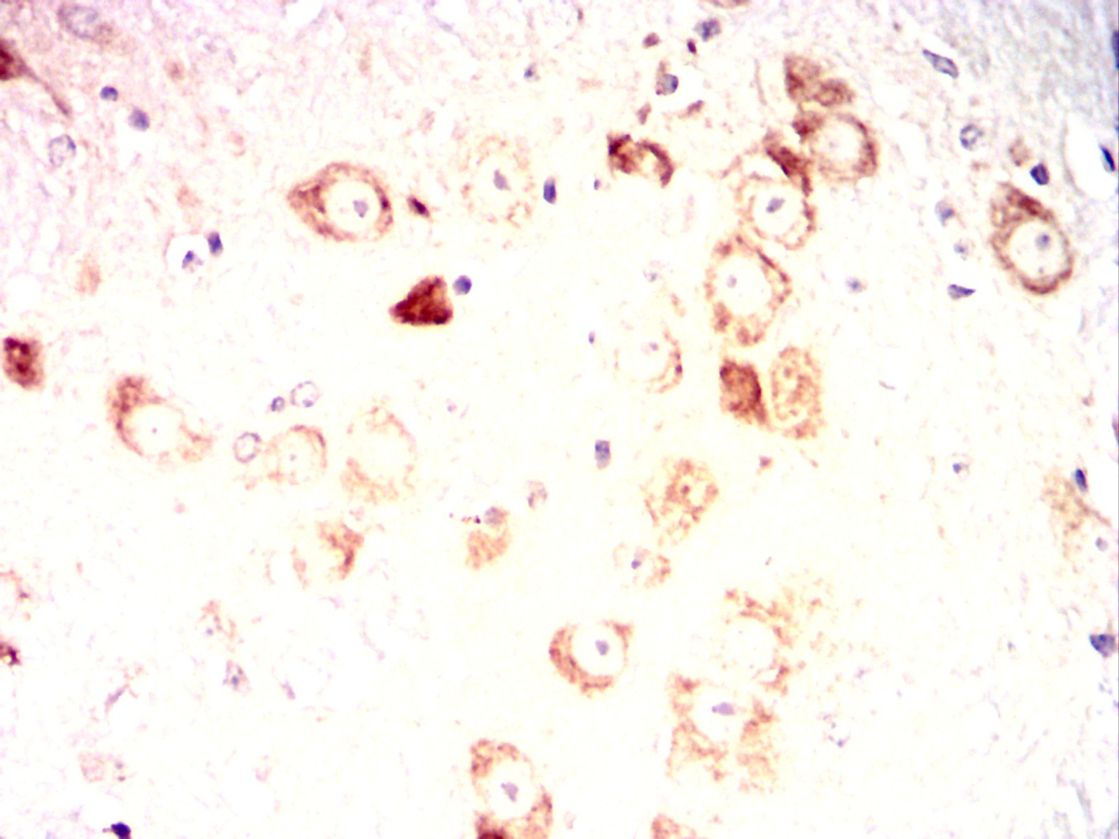
Immunohistochemical analysis of paraffin-embedded Mouse cerebellum using TMC4(N-term) mouse mAb with DAB staining.
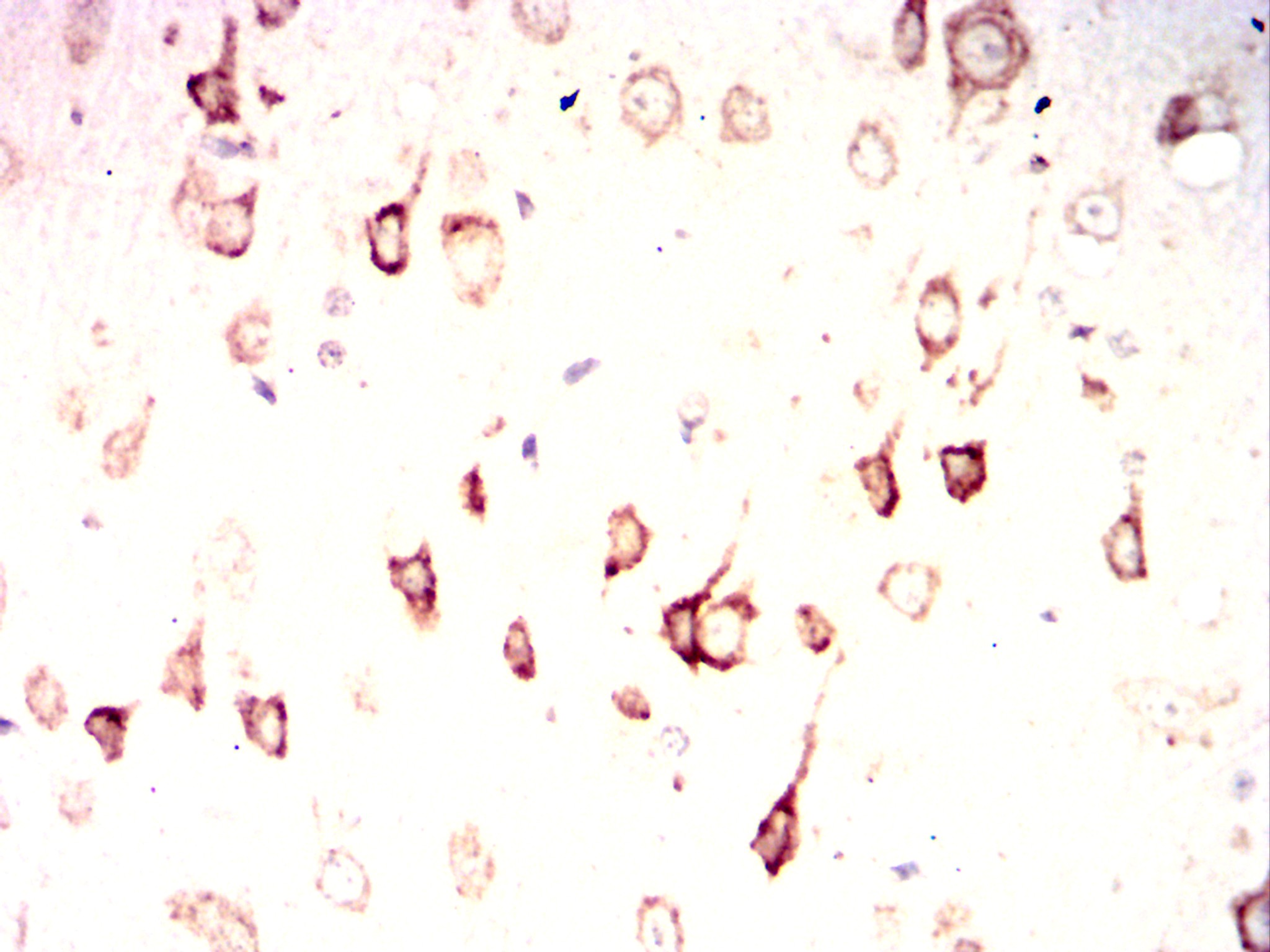
Immunohistochemical analysis of paraffin-embedded Rat brain using TMC4(N-term) mouse mAb with DAB staining.
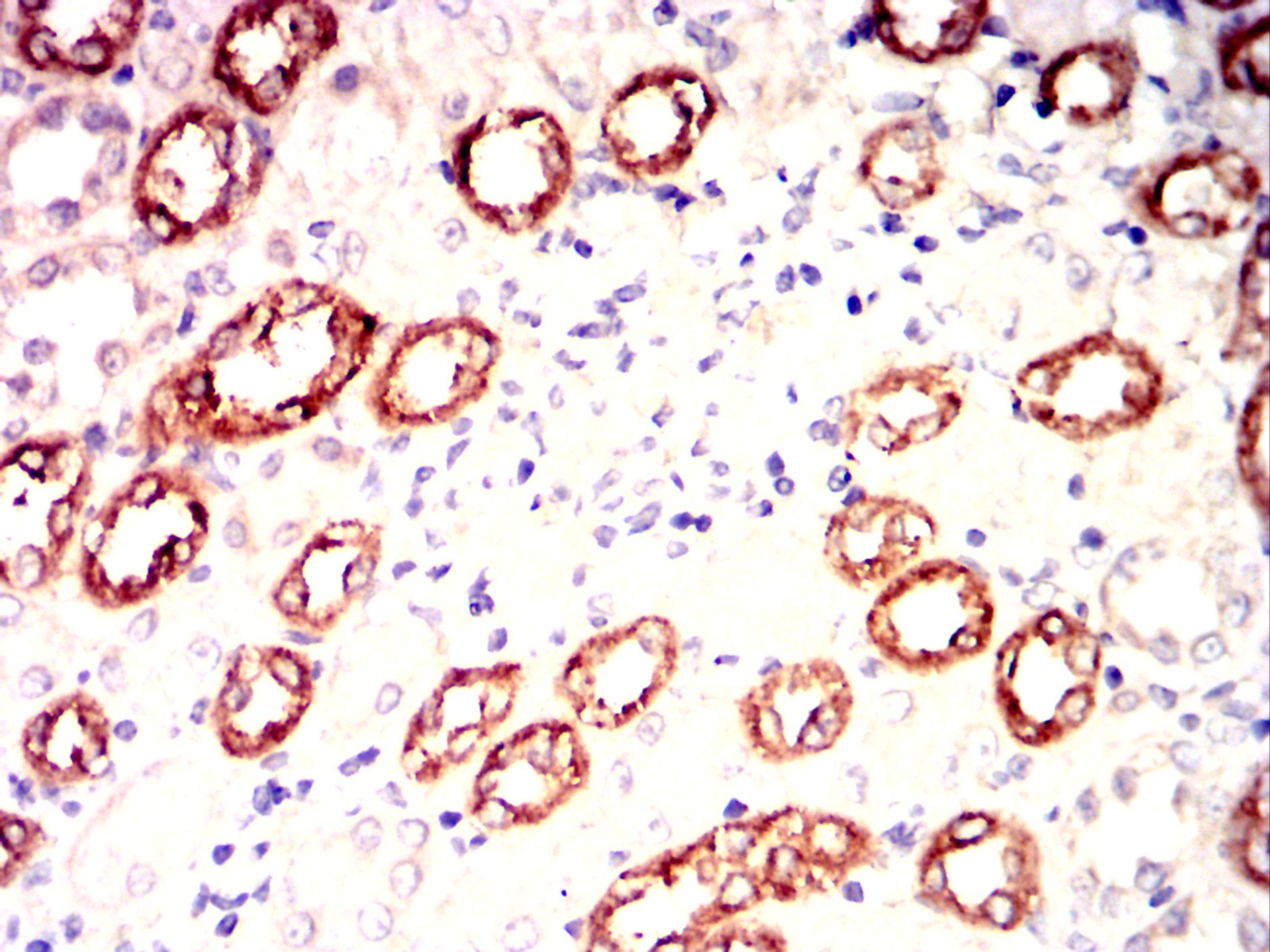
Immunohistochemical analysis of paraffin-embedded Rat kidney using TMC4(N-term) mouse mAb with DAB staining.
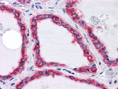
Immunohistochemical analysis of paraffin-embedded Rabbit kidney using TMC4(N-term) mouse mAb with DAB staining.
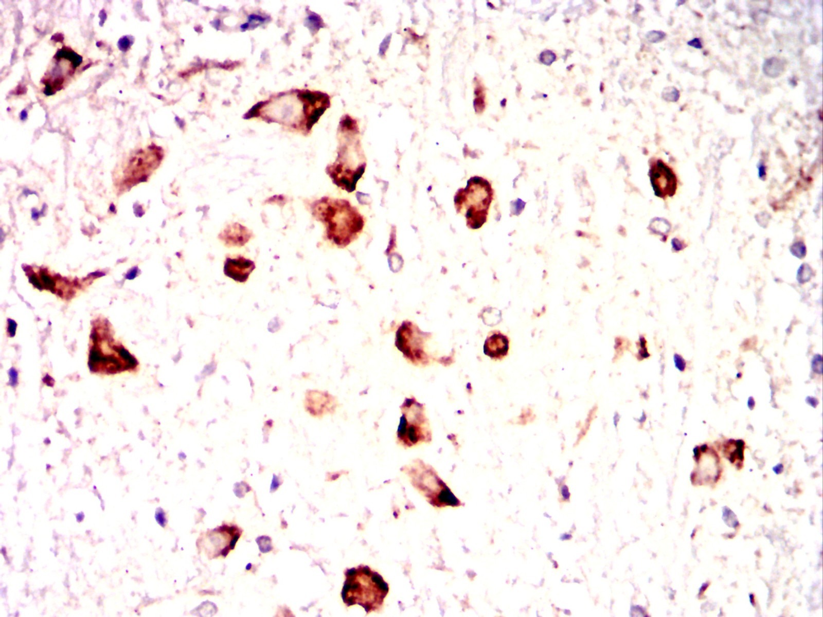
Immunohistochemical analysis of paraffin-embedded Rabbit spinal cord using TMC4(N-term) mouse mAb with DAB staining.
×