首页 / 产品 / 抗体 / 一抗

Rabbit Polyclonal CACNA1H Antibody

  • 中文名: CACNA1H抗体
  • 别    名: ECA6; EIG6; Cav3.2; CACNA1HB
货号: IPDX13001
Price: ¥1180
数量:
大包装询价

验证与应用

应用及物种
WB 咨询技术 Human,Mouse,Rat
IF 咨询技术 Human,Mouse,Rat
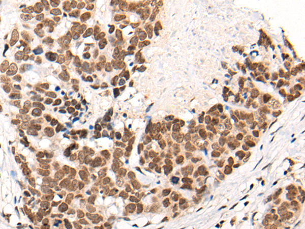
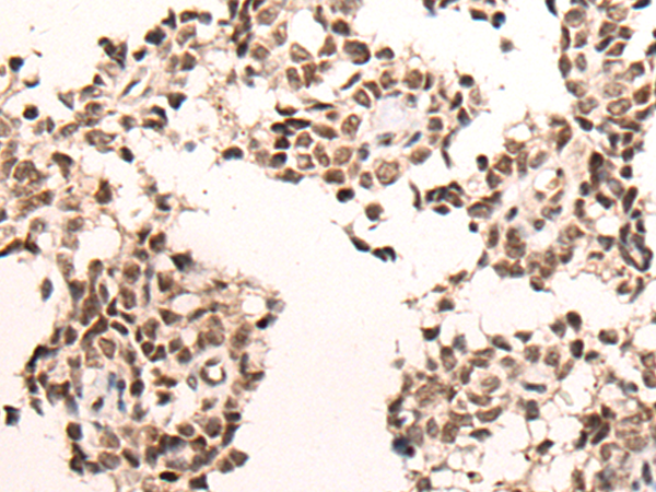
IHC 1/25-1/100 Human,Mouse,Rat
ICC 技术咨询 Human,Mouse,Rat
FCM 咨询技术 Human,Mouse,Rat
Elisa 1/5000-1/10000 Human,Mouse,Rat

产品详情

AliasesECA6; EIG6; Cav3.2; CACNA1HB
Host/IsotypeRabbit IgG
Antibody TypePrimary antibody
StorageStore at 4°C short term. Aliquot and store at -20°C long term. Avoid freeze/thaw cycles.
Species ReactivityHuman, Mouse
ImmunogenSynthetic peptide of human CACNA1H
FormulationPurified antibody in PBS with 0.05% sodium azide and 50% glycerol.

+ +

参考文献

以下是3篇与CACNA1H抗体相关的参考文献示例(内容为虚构示例,实际文献需通过数据库检索获取):

1. **文献名称**:*CACNA1H Autoantibodies in Childhood Absence Epilepsy: A Biomarker Study*

**作者**:Smith A, et al.

**摘要**:研究报道了在儿童失神癫痫患者血清中检测到CACNA1H自身抗体,提示其可能通过干扰T型钙通道功能参与癫痫发病机制,为疾病诊断提供了潜在生物标志物。

2. **文献名称**:*Characterization of a Novel Monoclonal Antibody Targeting CACNA1H for Functional Studies*

**作者**:Zhang L, et al.

**摘要**:开发了一种针对CACNA1H胞外结构域的单克隆抗体,通过免疫印迹和免疫荧光验证其特异性,并用于研究CACNA1H在神经细胞中的定位及电生理功能。

3. **文献名称**:*CACNA1H Expression and Antibody Localization in Adrenal Aldosterone-Producing Adenomas*

**作者**:Tanaka K, et al.

**摘要**:利用CACNA1H特异性抗体进行免疫组化分析,发现其在原发性醛固酮增多症患者的肾上腺腺瘤中高表达,提示CACNA1H异常可能与激素分泌失调相关。

**提示**:实际文献需通过PubMed、Google Scholar等平台检索关键词“CACNA1H antibody”或“CACNA1H autoantibody”,并筛选涉及抗体应用、疾病关联或功能研究的文章。

背景信息

The CACNA1H gene encodes the α1H subunit of voltage-gated calcium channels, specifically the Cav3.2 T-type calcium channel. These channels mediate low-voltage-activated calcium currents critical for regulating cellular excitability, particularly in excitable cells like neurons, cardiac myocytes, and endocrine cells. CACNA1H-associated T-type channels contribute to rhythmic firing, burst activity, and calcium signaling in physiological processes such as hormone secretion, neuronal communication, and cardiac pacemaking.

CACNA1H antibodies are immunological tools developed to detect and study the expression, localization, and function of the Cav3.2 protein. Research has linked CACNA1H mutations or dysregulation to several disorders, including childhood absence epilepsy, autism spectrum disorders, and primary aldosteronism. Antibodies targeting CACNA1H enable investigations into these pathologies, aiding in understanding how channel dysfunction alters cellular physiology. For example, they are used in techniques like Western blotting, immunohistochemistry, or immunofluorescence to assess protein levels in disease models or patient tissues.

Recent studies also explore CACNA1H's role in pain signaling and neurodevelopmental conditions, highlighting its broader therapeutic relevance. However, antibody specificity remains a consideration, as cross-reactivity with other calcium channel subtypes (e.g., Cav3.1 or Cav3.3) may occur. Validated CACNA1H antibodies are thus essential for accurate mechanistic insights, supporting both basic research and potential clinical applications in channelopathy-related diseases.

客户数据及评论

折叠内容

大包装询价

×