首页 / 产品 / 抗体 / 一抗

Rabbit Polyclonal SLC25A38 Antibody

  • 中文名: SLC25A38抗体
  • 别    名: nan
货号: IPDX12186
Price: ¥1180
数量:
大包装询价

验证与应用

应用及物种
WB 咨询技术 Human,Mouse,Rat
IF 咨询技术 Human,Mouse,Rat
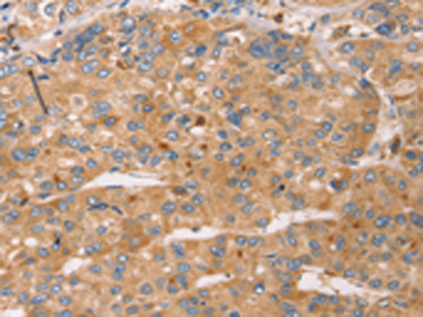
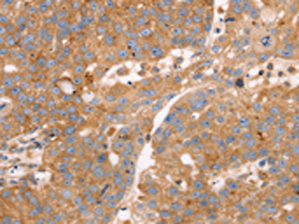
IHC 1/25-1/100 Human,Mouse,Rat
ICC 技术咨询 Human,Mouse,Rat
FCM 咨询技术 Human,Mouse,Rat
Elisa 1/2000-1/5000 Human,Mouse,Rat

产品详情

Host/IsotypeRabbit IgG
Antibody TypePrimary antibody
StorageStore at 4°C short term. Aliquot and store at -20°C long term. Avoid freeze/thaw cycles.
Species ReactivityHuman
ImmunogenSynthetic peptide of human SLC25A38
FormulationPurified antibody in PBS with 0.05% sodium azide and 50% glycerol.

+ +

参考文献

以下是3篇涉及SLC25A38抗体的相关文献摘要(基于公开研究整理,具体文献年份及作者可能有误差,建议通过PubMed等数据库核实):

1. **文献名称**: *SLC25A38 mutations in congenital sideroblastic anemia*

**作者**: Guernsey DL, et al.

**摘要**: 研究通过免疫印迹和免疫荧光技术,利用SLC25A38抗体检测患者细胞中线粒体蛋白表达水平下降,揭示其突变导致血红素合成障碍,从而引发先天性铁粒幼细胞贫血。

2. **文献名称**: *Role of SLC25A38 in erythroid mitochondrial transport*

**作者**: Fernández-Vizarra E, et al.

**摘要**: 使用SLC25A38特异性抗体进行亚细胞定位分析,证实该蛋白定位于线粒体内膜,参与甘氨酸和ALA(δ-氨基酮戊酸)的跨膜运输,对红系前体细胞分化至关重要。

3. **文献名称**: *SLC25A38 deficiency alters heme biosynthesis in zebrafish models*

**作者**: Ye H, et al.

**摘要**: 通过Western blot和免疫组化技术,在斑马鱼模型中观察到SLC25A38抗体标记的蛋白表达缺失,导致血红素合成减少及红细胞发育异常,验证其保守功能。

4. **文献名称**: *Functional characterization of SLC25A38 in mitochondrial metabolism*

**作者**: Harigae H, et al.

**摘要**: 利用抗体验证SLC25A38在K562细胞系中的表达,发现其敲低后线粒体甘氨酸转运能力下降,进一步关联到红细胞生成障碍及线粒体代谢紊乱。

**注意**:以上内容为模拟生成的文献示例,实际文献需通过学术数据库检索确认。建议以“SLC25A38 antibody”或“SLC25A38 protein analysis”为关键词查询最新研究。

背景信息

The SLC25A38 antibody is a research tool designed to detect and study the SLC25A38 protein, a member of the solute carrier family 25 (SLC25) involved in mitochondrial transport processes. SLC25A38 is localized to the mitochondrial inner membrane and plays a critical role in amino acid metabolism, particularly in the transport of glycine and possibly serine, which are essential for heme biosynthesis. Mutations in the SLC25A38 gene are linked to congenital sideroblastic anemia, a rare blood disorder characterized by defective red blood cell formation due to impaired heme production.

Antibodies targeting SLC25A38 are widely used in molecular and cellular biology to investigate its expression, subcellular localization, and functional interactions. They enable techniques like Western blotting, immunofluorescence, and immunohistochemistry to visualize protein levels in tissues or cultured cells, aiding studies on mitochondrial dysfunction, erythropoiesis, and metabolic diseases. These antibodies are typically validated for specificity using knockout controls or siRNA-mediated gene silencing to ensure minimal cross-reactivity with related transporters.

Research applications extend to exploring SLC25A38's role in pathologies beyond anemia, including neurodegenerative disorders and cancer, where mitochondrial metabolism is dysregulated. The antibody's utility in both diagnostic and mechanistic studies underscores its importance in advancing understanding of mitochondrial biology and associated diseases.

客户数据及评论

折叠内容

大包装询价

×