首页 / 产品 / 抗体 / 一抗

一抗

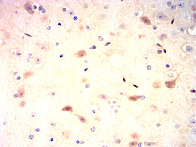
Rabbit Monoclonal Antibody to iNOS

中文名:iNOS抗体

Catalog:IPDX9228

Size: 50ul / 100ul

GeneID: P35228

Reactivity:Human,Mouse,Rat

Synonyms:NOS2;NOS2A;Nitric oxide synthase;inducible;Hepatocyte NOS;HEP-NOS;Inducible NO synthase;Inducible NOS;iNOS;NOS type II;Peptidyl-cysteine S-nitrosylase NOS2

Type: Primary antibody

Rabbit Monoclonal NuMA Antibody

中文名:NuMA抗体

Catalog:IPDX17849

Size: 50μl / 100μl

Application: WB IF IHC ICC FCM Elisa

Reactivity:Human,Mouse,Rat

Synonyms:NMP 22; NUMA; NUMA1; SP H antigen;;NUMA1

Type:Primary antibody

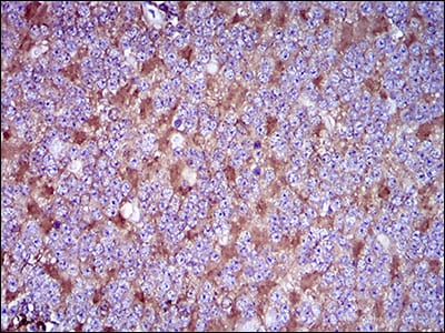
Mouse Monoclonal Antibody to CTSE

中文名:CTSE抗体

Catalog:IPDX07163-A

Size: 50ul / 100ul

GeneID: P14091

Reactivity: Human,Mouse,Rat,Monkey

Synonyms: CATE

Type: Primary antibody

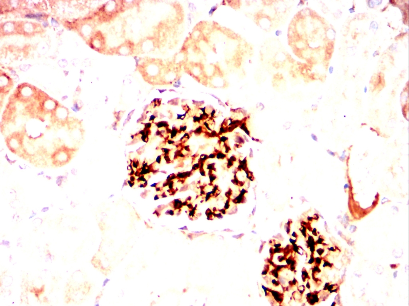
Rabbit Polyclonal Antibody to MCU

中文名:MCU抗体

Catalog:IPDX9240

Size: 50ul / 100ul

GeneID: Q8NE86

Reactivity:Human,Mouse,Rat

Synonyms:C10orf42; CCDC109A; Calcium uniporter protein mitochondrial; Coiled-coil domain-containing protein 109A;CCDC109A

Type:Primary antibody

Rabbit Monoclonal PKM2 Antibody

中文名:PKM2抗体

Catalog:IPDX17338

Size: 50μl / 100μl

Application: WB IF IHC ICC FCM Elisa

Reactivity:Human,Mouse,Rat

Synonyms:CTHBP; Cytosolic thyroid hormone binding protein; KPYM; OIP 3; Oip3; OIP3; OPA interacting protein 3; p58; PK Muscle type; muscle type; PK2; Pk3; PKM2;PKM

Type:Primary antibody

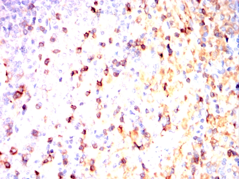
Rabbit Monoclonal Antibody to CD38

中文名:CD38抗体

Catalog:IPDX9688

Size: 50ul / 100ul

GeneID:P28907

Reactivity:Human,Mouse,Rat

Synonyms:CD38;ADP-ribosyl cyclase 1;Cyclic ADP-ribose hydrolase 1;cADPr hydrolase 1;T10;CD antigen CD38

Type:Primary antibody

Mouse Monoclonal Antibody to EBF1

中文名:EBF1抗体

Catalog:IPDX18341-A

Size: 50ul / 100ul

GeneID:Q9UH73

Reactivity:Human,Mouse,Rat,Rabbit

Synonyms:COE1; EBF; Ebf1; O/E 1; OE1; OLF1;;COE1

Type: Primary antibody

Rabbit Monoclonal EBF1 Antibody

中文名:EBF1抗体

Catalog:IPDX18341

Size: 50μl / 100μl

Application: WB IF IHC ICC FCM Elisa

Reactivity:Human,Mouse,Rat

Synonyms:COE1; EBF; Ebf1; O/E 1; OE1; OLF1;;COE1

Type:Primary antibody

Mouse Monoclonal Antibody to cpne8

中文名:cpne8抗体

Catalog:IPDX62278

Size: 50ul / 100ul

GeneID: Q86YQ8

Reactivity: Human

Type:Primary antibody

Mouse Monoclonal Antibody to CMTM2

中文名:CMTM2抗体

Catalog:IPDX9199-A

Size: 50ul / 100ul

GeneID: Q8TAZ6

Reactivity:Human,Rat

Synonyms:CKLFSF2

Type:Primary antibody

Mouse Monoclonal Antibody to ADGRG2

中文名:ADGRG2抗体

Catalog:IPDX9007-A

Size: 50ul / 100ul

GeneID:Q8IZP9

Reactivity:Human, Mouse

Synonyms:HE6; EDDM6; GPR64; CBAVDX; TM7LN2

Type:Primary antibody

靶点:ADGRG2

Mouse Monoclonal Antibody to PAR2

中文名:PAR2抗体

Catalog:IPDX9143-A

Size: 50ul / 100ul

GeneID: P55085

Reactivity: Human,Mouse,Rat

Synonyms:F2RL1; GPR11; PAR 2;;PAR2

Type: Primary antibody

Mouse Monoclonal Antibody to KLK5

中文名:KLK5抗体

Catalog:IPDX9297-A

Size: 50ul / 100ul

GeneID: Q9Y337

Reactivity:Human,Mouse,Rat,Rabbit,Monkey

Synonyms:SCTE; KLKL2; KLK-L2

Type:Primary antibody

Mouse Monoclonal Antibody to EAAT1

中文名:EAAT1抗体

Catalog:IPDX17618-A

Size: 50ul / 100ul

GeneID: P43003

Reactivity:Human,Rat,Monkey

Synonyms:SLC1A3;EAAT1;GLAST;GLAST1;Excitatory amino acid transporter 1;Sodium-dependent glutamate/aspartate transporter 1;GLAST-1;Solute carrier family 1 member 3

Type: Primary antibody

Rabbit Polyclonal NUP98 Antibody

中文名:NUP98抗体

Catalog:IPDX12372

Size: 50μl / 100μl

Application: WB IF IHC ICC FCM Elisa

Reactivity:Human,Mouse,Rat

Synonyms:ADIR2; NUP96; NUP196

Type:Primary antibody

Mouse Monoclonal Antibody to ZNF263

中文名:ZNF263抗体

Catalog:IPD34093

Size: 50ul / 100ul

GeneID:O14978

Reactivity:Human,Mouse,Rat

Synonyms:FPM315; ZSCAN44; ZKSCAN12

Type:Primary antibody

Mouse Monoclonal ABCA1 Antibody

中文名:ABCA1抗体

Catalog:IPD32075

Size: 50μl / 100μl

Application: WB IF IHC ICC FCM Elisa

Reactivity:Human,Mouse,Rat

Synonyms:TGD; ABC1; CERP; ABC-1; HDLDT1; HPALP1; HDLCQTL13

Type:Primary antibody

Mouse Monoclonal Antibody to CLIC6

中文名:CLIC6抗体

Catalog:IPDX9094-A

Size: 50ul / 100ul

GeneID: Q96NY7

Reactivity:Human, Mouse, Rat

Synonyms:CLIC1L

Type: Primary antibody

Rabbit Monoclonal to Laminin 5 alpha 3

中文名:兔层粘连蛋白 5 α 3 单克隆抗体

Catalog:IPDX9481

Size: 50ul / 100ul

GeneID: Q16787

Reactivity: Human

Synonyms:LAMA3; Laminin 5 alpha3; E170; LAMNA; LOCS; laminin alpha 3; Laminin A3;;Laminin alpha 3

Type: Primary antibody

Rabbit Polyclonal Phospho-PDHE1A(S232) Antibody

中文名:Phospho-PDHE1A(S232)抗体

Catalog:IPDX34866

Size: 50μl / 100μl

Application: WB IF IHC ICC FCM Elisa

Reactivity:Human,Mouse,Rat

Synonyms:Pyruvate dehydrogenase E1 component subunit alpha, somatic form, mitochondrial, PDHE1-A type I, PDHA1, PHE1A

Type:Primary antibody